Este é um projeto de extensão da Faculdade de Ciências Médicas da UERJ. Parte do acervo do banco de imagens é fruto do apoio do projeto E-26/110.255/2014 financiado pela FAPERJ
segunda-feira, 30 de maio de 2016
segunda-feira, 16 de maio de 2016
sábado, 14 de maio de 2016
SESSÃO DE TÓRAX DE 9/5/2016
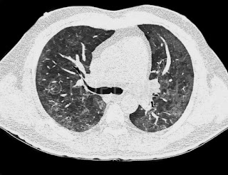
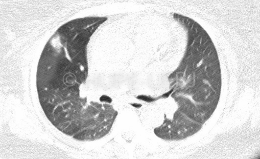
Doente jovem com diagnóstico de linfoma, duas tomografias de tórax, a segunda realizada um mês após, com piora nítida (nódulos e massas pulmonares, massa axilar esquerda). Evolução arrastada de espondilodiscite (destruição de vários corpos contíguos e coleção que se dissemina para região paravertebral e iliopsoas). Diversas lesões ósseas no ilíaco.
Tomografia inicial:
Tomografia inicial:
Evolução após um mês:
Espondilodiscite e lesões ilíacas:
quarta-feira, 11 de maio de 2016
PIELONEFRITES
A Pielonefrite também denominada de infecção do trato
urinário superior ou nefrite intersticial bacteriana é o termo recomendado pela Sociedade Internacional de
Urorradiologia para denominar o processo inflamatório/infeccioso dos rins. É uma entidade que se insere dentro do
espectro de Doenças infecciosas do Trato Urinário (ITU) e que acomete
especificamente a pelve renal, o parênquima (néfrons) e cálices.
A pielonefrite pode ser secundária à infecções do trato urinário
inferior (uretra, bexiga ou ureteres).
Em geral, as infecções urinárias são mais frequentes no sexo
feminino, entre a faixa etária dos 15-
40 anos , devido à uretra mais curta e a maior proximidade do ânus com o
vestíbulo vaginal e a uretra , o que facilita o contato com microrganismos. No
homem, o maior comprimento da uretra, fluxo urinário mais volumoso e o fator
antibacteriano prostático são elementos protetores.
Agentes Infecciosos
As infecções do trato urinário
inferior (cistite) bem como as do superior (pielonefrite) possuem agentes
etiológicos semelhantes quando agudas, não complicadas e de origem comunitária:
Escherichia coli (70% - 95%) por ser
o componente mais abundante da flora intestinal, Staphylococcus saprophyticus (5% - 20%) e, ocasionalmente, Proteus mirabilis, Klebsiella sp e Enterococcus
sp.
Tipos de Pielonefrite
Existem dois tipos : a pielonefrite aguda não complicada e a
pielonefrite complicada.
- Pielonefrite aguda não
complicada: acometem o parênquima renal
e o sistema coletor , não apresentam complicações como abcessos renais e
perirrenais. Os agentes infecciosos mais comuns são bactérias Gram negativas,
incluindo E. coli (82% em mulheres e
73% em homens), Klebsiella sp (2,7%
em mulheres e 6,2% em homens), Proteus
mirabilis, Enterobacter sp e Pseudomonas sp. A contaminação por via
hematogênica é mais rara, geralmente associada a foco infeccioso extrarrenal
como ocorre na tuberculose miliar, endocardite, diverticulite ou abscesso oral.
- Pielonefrite Complicada : é uma
infecção renal sintomática grave, que gera resposta imunológica frequentemente
associada à alterações funcionais e/ou estruturais do trato geniturinário com a
presença de abcessos renais e perirrenais; apresentam maior risco de evoluírem
para complicações graves como a sepse (infecção generalizada). Nas infecções
complicadas do trato urinário a incidência de Pseudomonas sp é maior, bem como a de gram-positivos resistentes
como Enterococcus sp. Algumas doenças
crônicas como diabetes, insuficiência renal,
imunodeficiência ou doenças urológicas como a hiperplasia prostática
benigna e a litíase, aumentam a
predisposição para pielonefrite complicada.
Entre as pielonefrites complicadas
há dois tipos que se destacam:
· - Pielonefrite xantogranulomatosa
Trata-se de um processo supurativo
grave, pouco frequente, caracterizado pela destruição e substituição do
parênquima renal por tecido granulomatoso histiocitário contendo células
espumosas.
· - Pielonefrite enfisematosa
Infecção grave caracterizada
pela presença de gás no sistema coletor;
geralmente poupa o parênquima renal. Os pacientes afetados frequentemente são
diabéticos mal medicados. A obstrução é outro fator predisponente comum.
Sintomas Clínicos
Febre, dor lombar, calafrios,
urgência miccional e disúria estão presentes em 50% dos pacientes; a
taquicardia também pode aparecer como um
sintoma de pielonefrite aguda; ao exame físico, pacientes podem apresentar dor
à punho-percussão da região lombar. Náuseas,
vômitos, diarreias, sintomas de toxemia e queda no estado geral são mais frequentes nas formas graves de pielonefrite.
Diagnóstico
·
Tomografia Computadorizada (TC)
A TC com meio de contraste intravenoso é o exame
recomendado, em virtude da sua elevada sensibilidade e especificidade; é útil
para mostrar complicações parenquimatosas. As alterações que podem ser observadas
são:
a) nefromegalia;
b) nefrograma heterogêneo;
c) heterogeneidade da gordura perirrenal – ocorre
densificação da gordura perirrenal e espessamento das fáscias pararrenais , laterais
e frontais;
d) retardo na eliminação do meio de contraste;
e) dilatação do sistema coletor;
f) nefrolitíase e ureterolitíase;
g) abscesso renal e perirrenal – área de liquefação com paredes bem definidas
ou pseudocápsula, podendo estar associada a conteúdo com atenuação gasosa ou de
aspecto espesso e com densidade superior. A TC constitui o método preferencial
para diagnosticar abscesso renal, caracterizando a extensão da infecção e
auxiliando na identificação de sua origem.
· Ultrassonografia
A ultrassonografia (USG) pode detectar má
formação, alterações estruturais, cálculo ou abscesso renais , embora para este
último a TC seja mais indicada uma vez que a USG pode não distinguir uma massa
inflamatória de um abcesso renal verdadeiro.
Texto da aluna de graduação da UERJ Samilly Quirino
Texto da aluna de graduação da UERJ Samilly Quirino
Referências
- Campos FA et al. Freqüência dos sinais de pielonefrite aguda
em pacientes submetidos a tomografia computadorizada. Radiol Bras [online].
2007, vol.40, n.5 São Paulo Sept./Oct.
2007. Disponível :http://www.scielo.br/scielo.php?script=sci_arttext&pid=S0100-39842007000500006
- Heilberg IP , SCHOR N. Abordagem diagnóstica e terapêutica
na infecção do trato urinário: ITU. Rev. Assoc. Med. Bras. [online]. 2003,
vol.49, n.1 São Paulo Jan./Mar. 2003. Disponivel : http://www.scielo.br/scielo.php?script=sci_arttext&pid=S0104-42302003000100043
- Sociedade Brasileira
de Infectologia e Sociedade Brasileira de Urologia. Infecção do Trato Urinário
Alto de Origem Comunitária e Hospitalar.
Projeto Diretrizes. 13 de julho de 2004.Disponível em: http://projetodiretrizes.org.br/projeto_diretrizes/064.pdf
- Craig WD,
Wagner BJ, Travis MD. Pyelonephritis: radiologic-pathologic
review.Radiographics 2008; Vol 28: 255. Disponível: http://pubs.rsna.org/doi/10.1148/rg.281075171?url_ver=Z39.88-2003&rfr_id=ori:rid:crossref.org&rfr_dat=cr_pub%3dpubmed
quarta-feira, 4 de maio de 2016
Entrevista com Roberta Veronese: uso da tomografia computadorizada no estudo de fósseis de preguiças extintas
Conversamos com a pesquisadora Roberta Veronese, aluna de pós-graduação do Museu Nacional/UFRJ (maior instituição científica do Brasil e maior museu de história natural e antropologia da América Latina), sobre seu estudo com fósseis de preguiças extintas. Por meio de tomografias dos crânios destes animais foi possível a obtenção secundária de modelos encefálicos em 3D que permitiram a caracterização dos hábitos de vida destes exemplares extintos. É realmente fascinante como os avanços na área de tecnologia da informação e imagem radiológica podem ajudar o homem a entender melhor o passado.
Q1- Qual a sua formação e o que a levou a se interessar por esse tema: análise de fósseis de crânios de preguiças?
Sou bióloga e desde a graduação trabalho
com paleontologia de vertebrados. Já durante a iniciação científica
desenvolvíamos no laboratório de Paleontologia do Museu Nacional (MN) trabalhos
com paleoneurologia. O meu projeto, especificamente, foi com gavialídeo fóssil,
descrição de seios nasais, também com o uso da tomografia e reconstituição 3D.
Durante a especialização (em
geologia) trabalhei com mamíferos, mas com outro foco. Por isso no mestrado eu
escolhi trabalhar um pouco com as duas áreas: paleoneurologia e mamíferos.
Levantamos todos os crânios fósseis
de mamíferos na coleção de paleovertebrados do MN e tínhamos alguns crânios de
preguiças terrícolas. Eu e meus orientadores concluímos que existiam questões
interessantes no que diz respeito à evolução das preguiças, pois são animais
que mudaram completamente seu hábito de vida, no que se refere à alimentação e
postura (de terrícolas de pé a arborícolas, “de cabeça para baixo”). Uma mudança maior que simplesmente o tamanho. Por
isso escolhemos esse grupo.
Q2- Explique como a tomografia computadorizada (TC)
dos exemplares estudados ajuda no entendimento do encéfalo destes animais.
Fósseis são exceções. Apesar de encontrarmos muitos
exemplares de animais do passado acreditamos que sua representatividade é
mínima em termos da biodiversidade do que deveria existir no passado. Para um
fóssil se formar é necessário um conjunto de fatores que não estão sempre presentes
na morte dos animais. Por isso o fóssil é um material raro.
No passado para se estudar determinadas estruturas de
animais, especialmente crânio, era necessário a destruição do fóssil. No geral
eram seccionados (temos um exemplar no estudo que passou por isso) ao meio para
poder observar e moldar como seriam as estruturas internas. Com o advento das
técnicas de RX e TC foi possível observar essas estruturas sem a destruição
desse material raro.
Com novas tecnologias de reconstrução digital 3D foi possível
usar os cortes de TC para reconstituir estruturas internas a partir das marcas
deixadas nos ossos.
Neste trabalho usamos as marcas deixadas no endocrânio para
reconstrução dos encéfalos destes animais. Por meio da mesma técnica com
animais recentes obtivemos uma base comparativa segura para entender a
morfologia e como essa se reflete em determinados hábitos de vida.
Q3- Os fósseis estudados datam de que época? Qual
era a proporção destes animais e hábitos gerais que os diferenciavam das
preguiças atuais?
Esses animais pertencem a Megafauna e são do final do
Pleistoceno (1,8 milhão e 11 mil anos).
Eles variavam bastante em tamanho , sendo que o maior (Eremotherium , presente nesse trabalho)
chegava a 5 toneladas e a menor forma pesava cerca de 50 kg, como um grande cão
(Nothrotherium) . No geral as formas
eram terrícolas. Entretanto os últimos
estudos em termos de anatomia de dentes, biomecânica de mandíbula/ossos longos,
comprovaram que seus hábitos eram muito variados. Temos formas arborícolas (ou
semi) no caso do animal presente nesse estudo, o Nothrotherium maquinense, terrícolas pastadoras, terrícolas
ramoneadoras e até animais aquáticos (Thalassocnus).
Q4- O cerebelo parece ter sido um dos órgãos
principais a ter sofrido modificações evolutivas. Quais modificações puderam
ser observadas e qual a implicação destas mudanças para os animais?
A
evolução não é algo linear, então o que se observou não foram preguiças
extintas num grau de desenvolvimento menor quanto às atuais. O que se pôde
observar foram diferenças na morfologia que permitiu inferir hábitos nas formas
extintas. As principais modificações observadas foram relacionadas à divisão de
estruturas, estando mais ou menos visíveis, e tamanho relativo.
O cerebelo é uma estrutura que está
relacionada ao controle motor fino. O grau de desenvolvimento dessa estrutura mostra
o quanto esse controle motor é mais ou menos aprimorado. De maneira
surpreendente observamos que em alguns animais extintos, o cerebelo era mais
desenvolvido que nas formas atuais. Assim, quando uni estudos prévios de
determinadas famílias pude corroborar algumas previsões. Por exemplo, alguns trabalhos
apontam que as preguiças da família Mylodontidae seriam escavadoras. Neste
trabalho foi observado maiores proporções relativas de cerebelo para os
exemplares dessa família, algo que também foi visto em Tatus recentes
(avaliados também nesse trabalho). Logo corroborei este hábito escavador para
esta família.
Alguns aspectos da morfologia do cerebelo de Glossotherium robustum são compatíveis com características de
processos auditivos de morcegos, algo que concorda com um trabalho sobre possíveis
capacidades auditivas deste animal (capacidade de ouvir sons de baixa
frequência).
Q5- Em relação ao cérebro e bulbos olfatórios houve
modificações evolutivas nos grupos estudados?
Apesar de a variação morfométrica do encéfalo e suas
estruturas estarem ligadas a uma tendência isométrica de tamanho, foi possível
captar diferenças com relação ao tamanho relativo do encéfalo. Medi o que se
denomina por grau de encefalização, que é justamente o quanto o encéfalo do
animal é maior, menor ou igual ao esperado para seu peso. Seria o tamanho
relativo.
Um dos gêneros atuais, o que seria uma forma mais derivada na
filogenia, Choloepus, de fato
apresenta EQ maior que a forma, teoricamente, mais basal. Quase todas as formas
fósseis se mostram similares à esta (mais basal) em termos de desenvolvimento.
Entretanto, novamente nos surpreendemos com o fato de Nothrotherium, uma forma extinta, ter um grau de encefalização
maior que todas as outras, inclusive as atuais.
Isso quer dizer que este animal estava bem mais adaptado, teria um grau
de “inteligência” maior que os demais observados.
Tanto as formas fósseis quanto as atuais demonstraram
proporções similares de bulbo olfatório, o que levou a crer que as necessidades
olfativas não mudaram tanto. Os estudos estatísticos observaram uma tendência
não necessariamente evolutiva, mas de hábitos, de modo que os animais se
agruparam conforme seus hábitos conhecidos ou inferidos. O mesmo foi observado
no estudo da morfologia.
Novamente pequenas mudanças morfológicas nas estruturas do
cérebro olfativo fizeram diferença no que diz respeito aos hábitos já
conhecidos para alguns animais. Por exemplo, lobos piriformes maiores e mais
destacados no gênero atual Choloepus
são compatíveis com o fato do animal ser reconhecidamente noturno e seus
hábitos sociais. Isto permitiu inferir comportamento similar para os
milodontídeos.
Q6- E para o futuro? Qual será seu próximo estudo?
Algo que gostaria de ter feito neste estudo foi a análise da
orelha interna e seios nasais e paranasais. O prazo de dois anos foi curto para
tal, então o próximo passo é a análise dessas estruturas.
Além disso, o estudo morfométrico só usou medidas lineares simples.
Se fizermos um estudo com outros pontos da morfologia poderei observar tendências
evolutivas nas formas que escapam à tendência isométrica de tamanho, aqui
observada. Para isso, além de fazer outras medidas em novos pontos, teria que
incluir mais animais tomografados à análise. A dificuldade está em conseguir
mais crânios fósseis do grupo para um estudo estatístico mais robusto.
Exemplar de Eremotherium laurillardi no MN/UFRJ
Glossotherium robustum e Eremotherium laurillardi no MN/UFRJ
Eremotherium laurillardi no MN/UFRJ
Crânio de Eremotherium laurillardi
Representação tomográfica sagital do crânio de um fóssil estudado
Representação em 3D do encéfalo de um Eremotherium laurillardi
Assinar:
Comentários (Atom)






































