Este é um projeto de extensão da Faculdade de Ciências Médicas da UERJ. Parte do acervo do banco de imagens é fruto do apoio do projeto E-26/110.255/2014 financiado pela FAPERJ
quarta-feira, 22 de junho de 2016
SESSÃO DE TÓRAX DE 20/6/2016 (CASO 1): ESTAFILOCOCCIA E PNEUMOTÓRAX
Radiografia de tórax em AP: múltiplas consolidações e hipotransparência assimétrica no terço superior do pulmão esquerdo
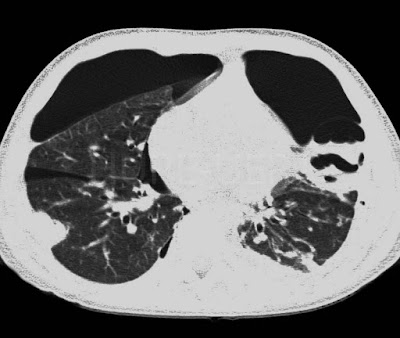
TC mostra pneumotórax bilateral e nódulos escavados
TC mostra pneumotórax bilateral e nódulos escavados
TC mostra pneumotórax bilateral e nódulos escavados
TC com janela para osso e reconstrução coronal na primeira imagem: notar alteração da arquitetura da cabeça umeral direita, com lesões osteolíticas sugestivas de osteomielite
terça-feira, 21 de junho de 2016
INFARTO OMENTAL
Infarto omental
1)Introdução:
O diagnóstico sindrômico de abdome agudo inflamatório localizado na
fossa ilíaca direita abrange como principais diagnósticos diferenciais: apendicite,
diverticulite e colecistite agudas, ileíte terminal, apendagite e infarto segmentar
do omento.
A torção omental com infarto é urgência abdominal rara que acomete
pacientes de meia-idade, com predomínio do sexo masculino (3:2). Mais comumente
ocorre sem causa evidente (infarto segmentar idiopático ou primário), não
havendo ponto de fixação demonstrável. Fatores considerados predisponentes para
este tipo de torção incluem a obesidade e a presença de omento redundante e
exageradamente móvel. A maior parte dos infartos acomete a porção direita do
omento, provavelmente devido às maiores dimensões, peso e mobilidade deste
segmento. Nos casos de torções ditas secundárias, cirurgias prévias recentes
(mais frequente dentre as secundárias), tumores, aderências e hérnias
encarceradas são comumente implicados.
Em pacientes pediátricos a obesidade tem sido ressaltada como
importante fator predisponente. Estudos comparativos entre crianças do sexo
masculino e feminino com índices de massa corpórea semelhantes têm mostrado
maior incidência de torção em meninos, o que parece ser explicado pela maior
tendência destes em apresentar acúmulo central de gordura (distribuição
fisiológica dependente do sexo), com omentos mais espessos e pesados.
2) Etiologia e patogênese:
A etiologia e patogênese são incertas. Um omento redundante ou
anomalias vasculares têm sido postuladas como possíveis causas que fazem com
que o omento se torne suscetível à torção e infarte. Outra hipótese indica que
a origem desta desordem é uma congestão vascular associada com o aumento da
pressão intra-abdominal ou alimentos abundantes.
3) Sinais e sintomas:
Clinicamente apresenta-se com dor abdominal persistente localizada
no hemiabdome direito, febre baixa e ausência de sintomas gastrointestinais. Os
exames laboratoriais normalmente não apresentam alterações. Pode simular uma
apendicite aguda e deve ser considerado diagnóstico diferencial de abdome
agudo.
4) Diagnóstico:
As modalidades de diagnóstico por imagem, seja a ultrassonografia
(US) ou a tomografia computadorizada (TC), podem com muita propriedade avaliar
as afecções que acometem a fossa ilíaca direita, principalmente quando se trata
de processos inflamatórios. Nos casos de infarto de omento, estes métodos irão
mostrar a densificação de planos gordurosos com formação de massa, sem sinais
de acometimento dos órgãos desta região.
O achado ultrassonográfico característico é de massa
hiperecogênica ovóide localizada no quadrante inferior direito, com um apêndice
de características normais. Sua limitação é a de ser operador dependente. A TC é
indicada se os sintomas persistirem ou se o achado na US for negativo ou
equívoco. A TC demonstra uma massa gordurosa heterogênea triangular ou oval
localizada entre a parede abdominal anterior e o cólon transverso ou ascendente.
A massa consiste de necrose gordurosa, hemorragia e infiltração
inflamatória. Recentemente, foi sugerido que a presença de estruturas lineares
serpiginosas associadas a massa gordurosa representam vasos omentais torcidos
sobre si próprios, o que corrobora o diagnóstico de infarto omental. Nos casos
em que estejam presentes, processos concomitantes ou mesmo desencadeantes
(torção secundária) podem ser demonstrados.
O diagnóstico de infarto omental é feito, muita das vezes, durante
o ato cirúrgico, pois a expressão clínica dos processos inflamatórios da fossa
ilíaca direita tem como primeira hipótese a apendicite aguda, sendo frequentemente
indicada cirurgia sem a realização de exames complementares.
Texto da aluna de graduação em medicina Natalia Mourão Rufino.
Setas apontam imagem em halo na projeção do omento maior que corresponder ao infarto deste tecido
domingo, 19 de junho de 2016
HIPERPLASIA NODULAR FOCAL
Hiperplasia Nodular Focal do Fígado (HNF)
Introdução:
Encontrada mais comumente em mulheres (8 a 9:1 entre os sexos) de 20 a 50 anos, a HNF é o segundo tumor benigno de fígado em freqüência e o tumor mais comum de origem não vascular, representando mais de 66% desses. Apresenta-se predominantemente na forma de uma pequena massa nodular em crescimento, bem circunscrita, com menos de 5cm, sendo encontrado igualmente nos lobos direito e esquerdo. Tipicamente, se caracteriza por uma cicatriz fibrosa central em cerca de 15% dos casos. Histopatologicamente, a lesão apresenta cordões hepáticos benignos divididos por septos fibrosos originados da cicatriz central, com epitélio biliar atípico, sem alterações vasculares.
Sua etiologia ainda não é bem conhecida, mas a teoria mais aceita atualmente sugere origem de uma resposta hepatocitária a malformações arteriovenosas congênitas. Exposição a hormônios femininos e contraceptivos orais têm mostrado fraca associação com a patogênese. Em aproximadamente 20% dos casos, mais comumente em homens, a histopatologia revela alterações telangiectásicas, podendo apresentar atipias, com células hiperplásicas e adenomatosas. O risco de sofrerem ruptura ou degeneração malígna ainda é incerto.
Apresentação clínica:
A maioria dos pacientes são assintomáticos e tem seu diagnostico de forma acidental por exames de imagem ou durante cirurgias. Quando presentes, os sintomas consistem em vaga dor abdominal. Uma variedade de sintomas pouco específicos são descritos na literatura, sendo difícil a associação entre os mesmos e a presença do tumor, tornando necessária a busca por outras causas mais prováveis. O exame físico normalmente é inocente e leves alterações na função hepática podem estar presentes. Os níveis de alfafetoproteína são normais.
Diagnóstico:
O diagnóstico da maioria das hiperplasias nodulares focais do fígado pode ser feito com relativa segurança por meio de métodos de imagem. Frequentemente, apresenta- se como lesão solitária (80- 95%). A TC realçada com contraste e a RNM se tornaram métodos de alta acurácia para o diagnostico, especialmente quando demonstram massa homogênea com cicatriz central. Do ponto de vista hemodinâmico, a lesão capta intensamente o meio de contraste na fase arterial. O achado de cicatriz central pode estar presente em alguns pacientes com adenoma hepático e colangiocarcinoma intra-hepático. Ocasionalmente, confirmação histológica é necessária e a biópsia excisional é recomendada para o diagnostico definitivo. Biópsia por agulha fina é frequentemente inconclusiva.
A detecção de lesões por meio da cintilografia com Tc-99m enxofre ou estanho coloidal depende da concentração de células de Kuffer no tumor. Pode ser útil no diagnóstico de neoplasias benignas, que caracteristicamente não contem células de Kupffer, revelando massa pouco captante.
Tratamento:
Apesar de a maioria dos tumores ser benigno e indolente, a história natural da sua evolução não é totalmente conhecida. Portadores comumente permanecem por longos períodos assintomáticos e rupturas, sangramentos e infartos são extremamente raros e não há documentação de casos de degeneração malígna. O tratamento, portanto, depende da certeza diagnostica e das manifestações clínicas. Pacientes assintomáticos com imagem radiológica típica não necessitam de tratamento. Na presença de imagem e apresentação atípicos, sintomas persistentes sem outra causa associada e grandes tumores, a recessão com confirmação
Introdução:
Encontrada mais comumente em mulheres (8 a 9:1 entre os sexos) de 20 a 50 anos, a HNF é o segundo tumor benigno de fígado em freqüência e o tumor mais comum de origem não vascular, representando mais de 66% desses. Apresenta-se predominantemente na forma de uma pequena massa nodular em crescimento, bem circunscrita, com menos de 5cm, sendo encontrado igualmente nos lobos direito e esquerdo. Tipicamente, se caracteriza por uma cicatriz fibrosa central em cerca de 15% dos casos. Histopatologicamente, a lesão apresenta cordões hepáticos benignos divididos por septos fibrosos originados da cicatriz central, com epitélio biliar atípico, sem alterações vasculares.
Sua etiologia ainda não é bem conhecida, mas a teoria mais aceita atualmente sugere origem de uma resposta hepatocitária a malformações arteriovenosas congênitas. Exposição a hormônios femininos e contraceptivos orais têm mostrado fraca associação com a patogênese. Em aproximadamente 20% dos casos, mais comumente em homens, a histopatologia revela alterações telangiectásicas, podendo apresentar atipias, com células hiperplásicas e adenomatosas. O risco de sofrerem ruptura ou degeneração malígna ainda é incerto.
Apresentação clínica:
A maioria dos pacientes são assintomáticos e tem seu diagnostico de forma acidental por exames de imagem ou durante cirurgias. Quando presentes, os sintomas consistem em vaga dor abdominal. Uma variedade de sintomas pouco específicos são descritos na literatura, sendo difícil a associação entre os mesmos e a presença do tumor, tornando necessária a busca por outras causas mais prováveis. O exame físico normalmente é inocente e leves alterações na função hepática podem estar presentes. Os níveis de alfafetoproteína são normais.
Diagnóstico:
O diagnóstico da maioria das hiperplasias nodulares focais do fígado pode ser feito com relativa segurança por meio de métodos de imagem. Frequentemente, apresenta- se como lesão solitária (80- 95%). A TC realçada com contraste e a RNM se tornaram métodos de alta acurácia para o diagnostico, especialmente quando demonstram massa homogênea com cicatriz central. Do ponto de vista hemodinâmico, a lesão capta intensamente o meio de contraste na fase arterial. O achado de cicatriz central pode estar presente em alguns pacientes com adenoma hepático e colangiocarcinoma intra-hepático. Ocasionalmente, confirmação histológica é necessária e a biópsia excisional é recomendada para o diagnostico definitivo. Biópsia por agulha fina é frequentemente inconclusiva.
A detecção de lesões por meio da cintilografia com Tc-99m enxofre ou estanho coloidal depende da concentração de células de Kuffer no tumor. Pode ser útil no diagnóstico de neoplasias benignas, que caracteristicamente não contem células de Kupffer, revelando massa pouco captante.
Tratamento:
Apesar de a maioria dos tumores ser benigno e indolente, a história natural da sua evolução não é totalmente conhecida. Portadores comumente permanecem por longos períodos assintomáticos e rupturas, sangramentos e infartos são extremamente raros e não há documentação de casos de degeneração malígna. O tratamento, portanto, depende da certeza diagnostica e das manifestações clínicas. Pacientes assintomáticos com imagem radiológica típica não necessitam de tratamento. Na presença de imagem e apresentação atípicos, sintomas persistentes sem outra causa associada e grandes tumores, a recessão com confirmação
histopatológica está indicada. Uma vez que trata- se de um tumor benigno, as cirurgias devem ser
realizadas sob riscos mínimos de morbimortalidade.
Bibliografia:
1- Coelho, Júlio Cezar Uili, et al. "Indication and treatment of benign hepatic tumors." ABCD. Arquivos Brasileiros de Cirurgia Digestiva (São Paulo) 24.4 (2011): 318-323.
2- Goldman, Lee, and Andrew I. Schafer. (2015). Cecil textbook of medicine 25th edition. Elsevier. 3- Longo, D., Fauci, A., Kasper, D., & Hauser, S. (2015). Harrison's Principles of Internal Medicine
19th edition. McGraw-Hill Professional.
4- Townsend Jr, Courtney M., et al. Sabiston textbook of surgery. Elsevier Health Sciences, 2012.
Texto do aluno de graduação da UERJ Emerson Gomes de Paula
Bibliografia:
1- Coelho, Júlio Cezar Uili, et al. "Indication and treatment of benign hepatic tumors." ABCD. Arquivos Brasileiros de Cirurgia Digestiva (São Paulo) 24.4 (2011): 318-323.
2- Goldman, Lee, and Andrew I. Schafer. (2015). Cecil textbook of medicine 25th edition. Elsevier. 3- Longo, D., Fauci, A., Kasper, D., & Hauser, S. (2015). Harrison's Principles of Internal Medicine
19th edition. McGraw-Hill Professional.
4- Townsend Jr, Courtney M., et al. Sabiston textbook of surgery. Elsevier Health Sciences, 2012.
Texto do aluno de graduação da UERJ Emerson Gomes de Paula
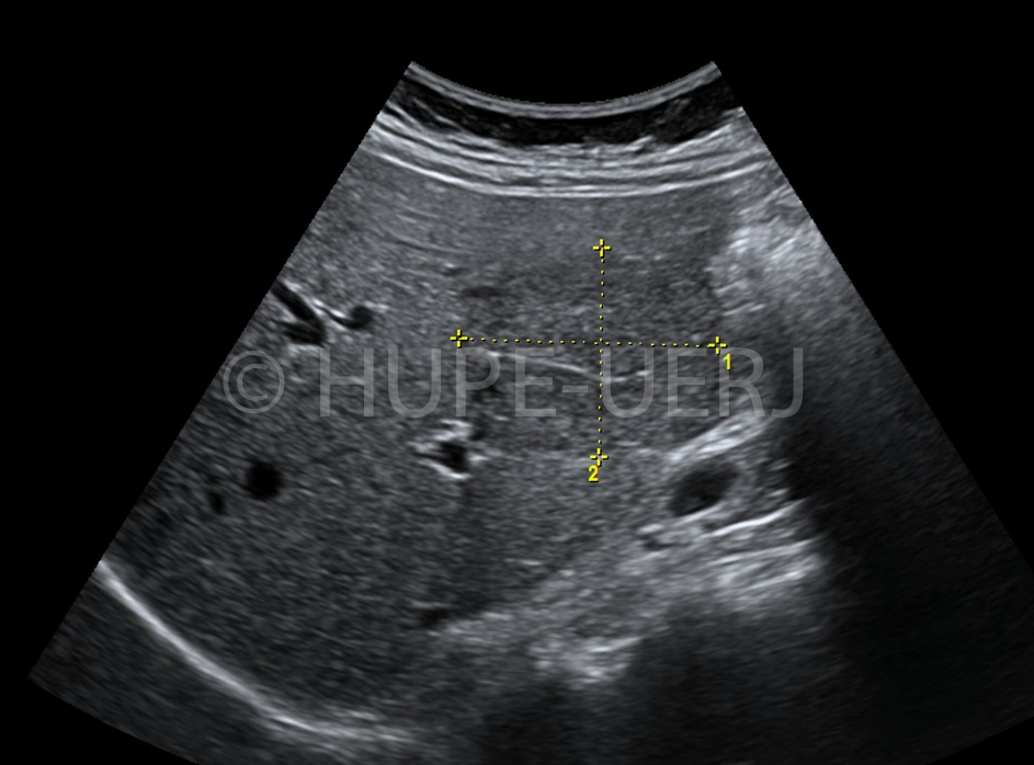
Lesão hipoecoica cujo contorno é indefinido e que apresenta uma cicatriz central
Doppler colorido mostra vascularização na periferia da lesão
sábado, 18 de junho de 2016
CARCINOMA DE PÂNCREAS
Câncer de Pâncreas
1- Anatomia do Pâncreas
O pâncreas é uma glândula mista situada
profundamente na cavidade abdominal (retroperitônio), ou seja, está
posterior ao estômago e à bolsa omental,
condição que em situações normais não o torna palpável. O pâncreas
divide-se em três partes: cauda, corpo e cabeça. A cabeça do pâncreas está
alojada na curvatura do duodeno tendo uma importante relação com este órgão, além
disso contém o ducto pancreático que conecta o pâncreas ao ducto colédoco (
ducto biliar comum).
Os cânceres que
começam na cabeça do pâncreas podem comprimir o ducto biliar, na parte
proximal, levando à icterícia; pode haver também a compressão do duodeno
dificultando a passagem do bolo alimentar.
2- Câncer de Pâncreas
Este é um câncer que se
desenvolve , na grande maioria dos pacientes, sem apresentar sintomas clínicos
prévios e a doença só se torna aparente após o tumor invadir tecidos
circundantes ou produzir metástases para órgãos distantes, apresentando um mau
prognóstico. A maioria das pessoas que se apresenta com sintomas atribuíveis ao
câncer de pâncreas foi submetida à tomografias abdominais por outras razões; foi
observado que existem alterações sutis pelo câncer de pâncreas, um ano antes do
desenvolvimento dos sintomas, insuficientes para sugerir um protocolo de rastreamento
precoce desta neoplasia.
2.1- Causas
O câncer de pâncreas é raro antes dos 30 e mais frequente
após os 60 anos. É de difícil diagnóstico e representa a quinta causa de
mortalidade por malignidade no ocidente.
Fatores que predispõem a esta neoplasia são: predisposição genética, tabagismo,
alcoolismo crônico, pancreatite aguda,
diabetes mellitus tipo 2 ( adquirida )
e obesidade.
2.2- Fiopatologia
Como o pâncreas possui células com atividades exócrinas e
endócrinas é muito importante distinguir
entre as neoplasias desses dois tipos
celulares. Cada uma apresenta diferentes causas, sinais, sintomas e prognóstico.
2.2.1- Câncer pancreático
exócrino: é o
tipo mais comum de câncer de pâncreas
2.2.1.1- adenocarcinomas
pancreáticos: representam 95% das neoplasias pancreáticas.
Em geral se originam dos ductos pancreáticos, ou são formados a partir de células produtoras
de enzimas pancreáticas ( carcinomas acinares )
2.2.1.2- tipos menos
comuns de câncer exócrino: carcinoma de células escamosas ,
células em anel de sinete, carcinomas indiferenciados e de células gigantes .
2.2.1.3- Carcinoma da
papila de Vater:
Este câncer tem origem na ampola de Vater ( ampola hepatopancreática), onde o
ducto biliar comum e o ducto pancreático convergem em direção ao duodeno.
Essas neoplasias muitas vezes bloqueiam o ducto biliar provocando o acúmulo de bile ,
desse modo o paciente passa a apresentar
sinais de icterícia: pele e olhos
adquirem cor amarelada. Por essa razão clínica,
os tipos exócrinos podem ser detectados mais cedo que os tipos endócrinos.
2.2.2- Neoplasia
pancreática endócrina: também chamados de tumores neuroendócrinos do pâncreas, costumam ser mais
raros, podendo ser benignos ou malignos,
sendo muitas vezes difícil a distinção.
2.2.2.1- tumores
neuroendócrinos funcionais do pâncreas: nesses tumores as células tumorais
produzem hormônios que ao caírem na corrente sanguínea produzem os sintomas. Os
mais comuns são do tipo insulinoma e gastrinoma.
2.2.2.2- Tumores
neuroendócrinos não funcionais: não produzem hormônios suficientes para atingirem a
corrente sanguínea e provocar sintomas, por isso podem aumentar muito de
tamanho antes que sejam identificados.
2.2.2.3- Tumores
carcinoides: estes
tumores são mais comuns em outras partes do sistema digestivo, mas raramente
podem se iniciar no pâncreas. Muitas vezes, estes tumores produzem serotonina
(também chamado 5-HT) ou precursor, 5-HTP.
Os tumores neuroendócrinos do pâncreas apresentam melhor
prognóstico do que os tumores
pancreáticos exócrinos.
2.3- Apresentação
Clínica
Os locais de invasão mais comuns do câncer de pâncreas são
duodeno, veia porta e vasos mesentéricos superiores, podendo atingir também
nervos periféricos, baço, adrenais, coluna vertebral, cólon transverso e
estômago. Linfonodos peripancreáticos regionais são frequentes focos de
metástases
As principais manifestações clínicas observadas incluem dor abdominal , icterícia
obstrutiva, e perda de peso. A perda de peso pode surgir por anorexia, má
digestão decorrente da obstrução dos ductos pancreáticos e biliares impedindo a
atuação de enzimas pancreáticas e da bile, e caquexia. Ocasionalmente, a obstrução
do pâncreas pode resultar em ataques de
pancreatite por acúmulo enzimático. A trombose venosa profunda e superficial
não é incomum e pode ser um sinal de apresentação de doença maligna. A
obstrução gástrica com náuseas e vômitos, às vezes acontece quando a doença encontra-se em estágio avançado.
Na lesão da cabeça do pâncreas é muito comum ocorrer a esteatorreia ( fezes com presença
de gorduras) e icterícia devido à obstrução biliar, pode ocorrer também a compressão do duodeno dificultando a
passagem do bolo alimentar e por consequência , o processo digestivo; nesses
casos há indicação de colocação de próteses biliares e duodenais para
melhorar os sintomas e a sobrevida do paciente. O Sinal de Curvoisier-Terrier à palpação ( vesícula biliar distendida )
também está presente.
2.4- Exames
2.4.1- laboratoriais: podem demonstrar valores aumentados de bilirrubina
sérica e de atividade da fosfatase alcalina.
2.4.2- Imagem: a Tomografia Computadorizada Trifásica é o
melhor exame para diagnóstico inicial de câncer pancreático,
permitindo a visualização da lesão e delimitação do avanço da doença (local e
metástases). A TC fornece cerca de 80% de precisão na predição de
ressecabilidade* .A ressonância
magnética pode ser utilizado para o estadiamento em pacientes que não toleram
contraste intravenoso para TC.
O foco dos esforços de triagem até agora tem sido para
detectar lesões pré-invasivas , ao invés de câncer pancreático precoce , uma
vez que a ressecção de lesões pré-invasivas podem impedir o desenvolvimento de
um câncer pancreático invasivo.
O estadiamento clínico classifica os pacientes em ressecável,
localmente avançado, e doença metastática.
*tumor que pode ser removido
cirurgicamente.
3- Referências
- Vincent A,
Herman J, Schulick R, Hruban RH, Goggins M. Pancreatic cancer. Lancet (London,
England). 2011 Aug 13; 378(9791). Disponível: http://www.ncbi.nlm.nih.gov/pmc/articles/PMC3062508/
- AmericanCancer
Society.Last Medical Review: 3/14/2016. Disponivel:http://www.cancer.org/acs/groups/cid/documents/webcontent/002318-pdf.pdf
- Silva
CSHA, Lucas SFLM, Nakatsu E, Moricz M, Silva RA, Pacheco Jr. AM, De Campos T.
Adenocarcinoma de pâncreas em paciente jovem: relato de caso. Arq Med Hosp Fac
Cienc Med Santa Casa São Paulo. 2011; 56(1): 36-9. Disponivel: http://www.fcmsantacasasp.edu.br/images/Arquivos_medicos/2011/56_1/08_rc06.pdf
Texto
elaborado pela aluna de graduação da UERJ, Samilly Quirino
TC de abdome: artefatos cirúrgicos por próteses duodenal e biliar devido à obstrução por uma neoplasia de cabeça de pâncreas. Há dilatação do dueto de Wirsung por atrofia do corpo e cauda, fenômeno comum nos carcinomas de cabeça
TC de abdome: massa na cabeça do pâncreas, com grande área de necrose
TC de abdome: reconstrução coronal
domingo, 12 de junho de 2016
quinta-feira, 9 de junho de 2016
ENTREVISTA COM O PROFESSOR RODOLFO ACATAUASSÚ: NÓDULOS PULMONARES
A quinta entrevista do projeto de extensão foi realizada com o Prof. Rodolfo Acatauassú, da Disciplina de Cirurgia Torácica do HUPE/UERJ e ex-diretor geral da mesma instituição.
Tive o prazer de acompanhar desde o início o projeto de estudo volumétrico de nódulos pulmonares, por isso sou testemunha de que uma ideia necessita de desbravadores que possam levá-la adiante e convencer, no bom sentido, outras pessoas a somar esforços e acreditar no sucesso de um empreendimento. A sua trajetória científica por meio do projeto de volumetria de nódulos pulmonares repete num nível mais restrito, a marca que ele impôs à gestão do HUPE durante oito anos: persistência e tenacidade.
Q1- Conte-nos de forma reduzida sua trajetória acadêmica e profissional como professor da UERJ e cirurgião de tórax.
Entrei como aluno na Faculdade de Ciências Médicas
em 1971, concluindo o curso em 1976. Posteriormente fiz a Residência em
Cirurgia Geral no HUPE e após, complementei a Residência em Cirurgia Torácica
em 1979. Em 1980 fui admitido como médico do Serviço de Cirurgia Geral do HUPE,
sendo lotado na Cirurgia Torácica, sob a Chefia do Prof. Antônio Ribeiro Netto.
Simultaneamente cursei mestrado e, após o doutorado na UFRJ no Programa de
Cirurgia Geral – Setor torácico. Em 1997 fui aprovado no concurso para docente
em Cirurgia Torácica e logo assumi a Coordenação da Disciplina, já com o
falecimento do Prof. Antônio Ribeiro Netto. Em 1999, iniciamos os estudos sobre
nódulo pulmonar, com a participação de alunos do Programa de Iniciação
Científica – PIBIC da UERJ em parceria com o Laboratório Tec-Graf da PUC – Rio,
o Instituto de Matemática Pura e Aplicada - IMPA e o Instituto Fernandes
Filgueiras-IFF da Fiocruz, onde eram feitas as tomografias para a volumetria já
que o HUPE não dispunha de um Tomógrafo Helicoidal. À mesma época participei da
Comissão de Implantação do Centro Universitário de Controle de Câncer - CUCC,
na qualidade de coordenador, e após um extenso trabalho de uma equipe multi e
interdisciplinar, bem como o apoio das autoridades foi conseguido, através do
projeto do CUCC, a construção do prédio com recursos da Petrobrás e a
instalação do primeiro Tomógrafo Helicoidal do HUPE, em 2002. Também no mesmo
projeto, foi conseguida toda uma aparelhagem na área de imagem, endoscopia,
laparoscopia e radioterapia, advindas do Ministério da Saúde, através do INCA. Além
de beneficiar várias áreas do HUPE, este novo parque possibilitou iniciar um
Ambulatório de Cirurgia Torácica especializado em Nódulos Pulmonares, até hoje
existente. Também nesta época estreitou-se a parceria com o Departamento de
Informática da Universidade Federal do Maranhão na área de informática, uma
parceria até hoje mantida e que já resultou em diversas publicações, a maioria
em revistas internacionais. Em 2004,
defendi a Tese sobre “ Estudo Volumétrico de Nódulos Pulmonares” para obtenção
do Título de Livre- Docência pela UNIRIO. Mesmo no período que exerci a Direção
do Hospital Universitário Pedro Ernesto (2008-2015), foi possível manter aos
sábados, o atendimento aos pacientes do Ambulatório de Nódulos Pulmonares, que
persiste ainda hoje, sem interrupção, congregando mais de 300 pacientes.
Q2- O que é nódulo pulmonar solitário? Qual
a importância clínica deste tipo de situação?
Nódulo pulmonar é uma lesão de forma esférica com
até 3 cm de diâmetro, circundado de parênquima pulmonar normal. A principal
importância clínica desta lesão é a possibilidade do diagnóstico precoce do
câncer primário de pulmão, uma neoplasia de alta mortalidade que, em países
desenvolvidos supera em número, a soma das mortes pelo câncer de próstata,
câncer de mama e câncer colorretal, estas últimas mais sujeitas ao diagnóstico
precoce e com maior responsividade aos diversos tratamentos. Com o advento dos
modernos métodos de imagem, sobretudo os novos tomógrafos multicanais, vem
aumentando o achado incidental de nódulos pulmonares o que representa também um
desafio diagnóstico, pois uma parte significativa destes nódulos é de natureza
benigna. Por outro lado, os nódulos pulmonares podem também ser de origem
metastática, o que aumenta a responsabilidade na sua identificação.
Q3- O que é a volumetria do nódulo de
pulmão e como nasceu a ideia de estudar estas lesões por meio da tomografia?
A Volumetria visa determinar o volume do nódulo
pulmonar a partir dos cortes da Tomografia Computadorizada e de contornos
definidos por um processo de segmentação, automática ou semi-automática.
Através do estudo com estruturas sintéticas de volume conhecido, desde logo foi
verificado que a tomografia com cortes finos tem uma precisão bastante grande
em aferir não somente o volume em si, como também detectar pequenas adições de
volume. Embora na prática clínica diária o tamanho do nódulo seja ainda
referido pelo seu diâmetro, esta forma de medida não seria a maneira mais
precisa de trabalhar, pois o diâmetro pode variar em função da porção do nódulo
em que o corte foi efetuado e isto se torna especialmente verdadeiro se o
nódulo tem irregularidades em seus contornos. Por outro lado, o volume computa
todo o nódulo e forneceria uma mensuração mais adequada. Outro aspecto
importante é que como a TC pode perceber pequenas variações volumétricas, pode
ser feita, mesmo em curto intervalo de tempo, a determinação do tempo de dobra
( doubling –time), uma função exponencial, para aferir a atividade biológica de
uma lesão. Idealmente, não bastaria saber que uma dada lesão de 10 mm é um
câncer, mas, sim a velocidade com que ela está crescendo. Assim, por exemplo,
existem certos casos de câncer de pulmão em que a lesão dobra a cada 40 dias,
enquanto outras dobram a cada 1000 dias. Isto, naturalmente, terá repercussão
terapêutica.
Q4- Qual o papel das várias instituições
parceiras da UERJ no projeto do estudo volumétrico dos nódulos?
Atualmente, a parceria envolve o Laboratório de
Informática da Universidade Federal do Maranhão, sob a responsabilidade dos
Professores Aristófanes Correia e Anselmo Paiva e o Laboratório Tec-Graf da PUC
– Rio, coordenado pelo Prof. Marcelo Gatass. A UFMA tem convênio com a UERJ e
vem desenvolvendo com nossa disciplina frequentes teses que resultam em
trabalhos publicados não somente sobre aspectos volumétricos dos nódulos, mas principalmente
sobre sua textura. Os Laboratórios da UFMA e da PUC – Rio desenvolveram o
software BEBÚI, que vem sendo utilizado para as segmentações dos nódulos e diversas
análises, através de estatísticas de pixels, que são os pontos formadores da
imagem. Alunos de Informática da PUC e UFMA e de Medicina da UERJ, que
trabalham no projeto, têm contribuído para o desenvolvimento do tema.
Q5- No momento, qual a recomendação oficial
das principais entidades médicas sobre a pesquisa tomográfica de nódulos
pulmonares em grupos de risco?
O rastreamento do câncer de pulmão em grupos de
risco, composto em especial por pacientes fumantes, com carga tabágica maior
que 20 maços.ano, vem sendo estudado em todo o mundo desenvolvido,
principalmente a partir do ano 2000. Utiliza-se para esta finalidade uma
Tomografia de Baixa Dose, que diminui a irradiação, sem prejudicar a imagem, que
aproveita o contraste aéreo natural do pulmão. Apesar de muitos resultados iniciais
promissores terem ocorrido, somente em 2011, quando foi publicado um estudo
multicêntrico americano do National Lung Screening
Trial, com duas coortes com cerca de 27.000 pacientes em
cada braço, é que foi incontestavelmente verificado um aumento de detecção e
uma mortalidade por câncer de pulmão, cerca de 20% menor, naqueles pacientes
submetidos ao rastreamento por tomografia computadorizada quando comparados com
aqueles que realizavam o rastreamento apenas com radiografia simples de tórax.
A par deste importante resultado, consolidou-se também um importante efeito
colateral, representado por um alto
percentual de nódulos benignos, principalmente de pequenas dimensões, e que enseja
a necessidade de mais trabalhos. Embora não seja ainda liberado o rastreamento
por TC com baixa dose como prática de saúde pública, pois aguardam-se novos
estudos em andamento, já vem sendo considerada uma boa prática clínica
individual, a realização de uma Tomografia Computadorizada de baixa dose em um
paciente de risco para câncer de pulmão.
Q6- Além da volumetria, que outras
características obtidas pela análise computacional dos nódulos podem ser
importantes para caracterização destas lesões?
Uma das características mais conhecidas além do
volume são as variações da textura do
nódulo. Hoje é muito bem aceita a importância da textura em vidro fosco – GGO (
Ground Glass Opacity), da textura
mista (sólida e vidro fosco) e da textura exclusivamente sólida, no âmbito dos
nódulos pulmonares, revelando a expressão de tumores com diferentes ritmos de
crescimento. No entanto, existe uma possibilidade muito grande de uso de
ferramentas computacionais, aplicando métodos de análise de outras áreas de
conhecimento, como, por exemplo, a geo-estatítica, para estudar a distribuição
dos pontos formadores da imagem do nódulo pulmonar e que, individualmente,
representam os diferentes coeficientes de atenuação à passagem dos raios X,
expressos visualmente em tons de cinza. Existem centenas de tons de cinza, que
o Sistema Visual Humano é incapaz de separar, mas que os métodos computacionais
podem fazer. Desta forma, abre-se um mundo de possibilidades que pouco a pouco
vêm sendo exploradas, sobretudo em trabalhos internacionais, e que podem trazer
novas e importantes contribuições, não só para a TC, como também, no futuro
próximo, para a Ressonância Magnética, que está se delineando como muito
promissora para o estudo dos nódulos pulmonares, congregando a vantagem de não
irradiar o paciente. Esta nova linha de pesquisa está sendo objeto de um
planejamento conjunto entre a Disciplina de Cirurgia Torácica e de Radiologia.
Assinar:
Comentários (Atom)





























